Mục lục
- 1. Vì sao cần nhận biết sớm dấu hiệu viêm tai giữa ở người lớn?
- 2. 8 dấu hiệu viêm tai giữa ở người lớn thường gặp
- 2.1 Đau tai âm ỉ hoặc dữ dội
- 2.2 Suy giảm thính lực tạm thời
- 2.3 Tai chảy dịch bất thường (otorrhea)
- 2.4 Cảm giác ù tai, nghe kém
- 2.5 Sốt và mệt mỏi toàn thân
- 2.6 Chóng mặt, mất thăng bằng
- 2.7 Nhức đầu kéo dài, đau vùng thái dương hoặc gáy
- 2.8 Ngủ kém, khó tập trung và giảm chất lượng sống
- 3. Khi nào cần đi gặp bác sĩ ngay?
- 4. Hình ảnh viêm tai giữa ở người lớn
- 4.1 Mô tả hình ảnh nội soi viêm tai giữa điển hình
- 4.2 Phân biệt giai đoạn: cấp, mạn, có dịch
- 5. Cách phòng ngừa viêm tai giữa ở người lớn
- 5.1 Giữ vệ sinh tai mũi họng khéo léo
- 5.2 Điều trị dứt điểm viêm xoang mũi, viêm họng
- 5.3 Không lạm dụng tăm bông hay thuốc nhỏ tai không cần thiết
- 6. Vì sao nên khám và chữa viêm tai giữa tại Bệnh viện FV?
- 6.1 Công nghệ nội soi và phẫu thuật xâm lấn tối thiểu
- 6.2 Đội ngũ bác sĩ đẳng cấp quốc tế
- 6.3 Thành tựu điều trị: “Tôi đã nghe lại được âm thanh của cuộc sống”
- 6.4 Điều trị toàn diện và đa chuyên khoa
- 6.5 Phác đồ cá thể hóa và chăm sóc hậu điều trị
Dấu hiệu viêm tai giữa ở người lớn thường bị bỏ qua hoặc nhầm lẫn với các bệnh lý tai mũi họng khác, khiến không ít bệnh nhân đến bệnh viện khi tình trạng đã tiến triển nặng. Trên thực tế, viêm tai giữa ở người lớn không chỉ gây đau đớn, suy giảm thính lực mà còn tiềm ẩn nguy cơ gặp biến chứng nguy hiểm như viêm màng não hoặc nhiễm trùng lan rộng. Vậy làm thế nào để nhận biết sớm và đâu là những triệu chứng điển hình cần đặc biệt cảnh giác? Bài viết này sẽ giúp bạn phân tích rõ 8 dấu hiệu quan trọng, kèm theo hình ảnh viêm tai giữa ở người lớn để người bệnh có thể chủ động nhận diện và thăm khám kịp thời.
1. Vì sao cần nhận biết sớm dấu hiệu viêm tai giữa ở người lớn?
Ở người lớn, viêm tai giữa thường bị xem nhẹ vì triệu chứng ban đầu dễ nhầm lẫn với viêm họng, cảm cúm hoặc viêm xoang. Không ít bệnh nhân đến khám tại Bệnh viện FV chỉ khi đã xuất hiện tình trạng chảy mủ tai hoặc nghe kém rõ rệt. Điều này đồng nghĩa bệnh đã tiến triển sang giai đoạn nặng, gây khó khăn hơn trong điều trị.
Nhiều nghiên cứu cho thấy, người lớn bị viêm tai giữa có nguy cơ cao gặp biến chứng nội sọ như viêm màng não hoặc áp-xe não nếu chậm trễ chẩn đoán và điều trị. Thực tế tại khoa Tai Mũi Họng, Bệnh viện FV cũng ghi nhận những ca bệnh phải nhập viện vì biến chứng sau nhiều tuần tự ý dùng thuốc nhỏ tai không phù hợp.
Việc nhận biết sớm các dấu hiệu viêm tai giữa ở người lớn có ý nghĩa quan trọng ở hai khía cạnh:
- Thứ nhất, giúp bác sĩ xác định chính xác giai đoạn bệnh, từ đó lựa chọn cách chữa viêm tai giữa phù hợp (thuốc kháng sinh, chọc hút dịch, hay phẫu thuật).
- Thứ hai, ngăn ngừa mất thính lực vĩnh viễn. Theo Tổ chức Y tế Thế giới (WHO), viêm tai giữa là một trong những nguyên nhân hàng đầu gây giảm thính lực nhưng có thể phòng ngừa được trên toàn cầu.
Chính vì vậy, thay vì bỏ qua những cơn đau tai thoáng qua hay tình trạng ù tai lặp đi lặp lại, người bệnh trưởng thành cần cảnh giác và chủ động thăm khám sớm. Đây là bước quan trọng để bảo vệ sức khỏe thính giác lâu dài, đồng thời tránh những hệ quả nặng nề có thể xảy ra.

2. 8 dấu hiệu viêm tai giữa ở người lớn thường gặp
Dưới đây là 8 dấu hiệu viêm tai giữa ở người lớn thường gặp và cũng dễ dàng nhận biết nếu người bệnh thường xuyên quan tâm đến sức khỏe tai mũi họng.
2.1 Đau tai âm ỉ hoặc dữ dội
Dấu hiệu viêm tai giữa ở người lớn thường bắt đầu bằng những cơn đau tai; cơn đau có thể âm ỉ hoặc đau dữ dội, lan ra vùng hàm và thái dương. Cơ chế sinh bệnh là do dịch và tình trạng viêm phù nề trong hòm nhĩ tạo áp lực lên màng nhĩ và cấu trúc xương nhỏ, kích thích các thụ thể đau. Đặc biệt, cơn đau tăng khi nằm và khi nuốt do thay đổi áp lực vùng tai.
Dựa trên lâm sàng, đau do viêm tai giữa thường đi kèm với các triệu chứng khác như chảy dịch hoặc giảm thính lực, khác với đau do viêm tai ngoài hay đau răng. Nếu người bệnh bị đau kèm sốt cao hoặc yếu liệt mặt, cần đến bệnh viện để khám chuyên khoa ngay.
Điển hình như một bệnh nhân 45 tuổi, thường xuyên bị đau nhức ở tai phải và cơn đau tăng dần về đêm kèm sốt 38°. Khi được khám soi tai thấy màng nhĩ căng, mất bóng sáng. Đây là dấu hiệu gợi ý viêm tai giữa cấp tính, cần đánh giá và cân nhắc dùng kháng sinh.
2.2 Suy giảm thính lực tạm thời
Tình trạng nghe kém đột ngột hoặc nghe như “bí tai” cũng là một trong những dấu hiệu viêm tai giữa ở người lớn. Nguyên nhân thường do dịch ứ trong tai giữa làm giảm khả năng dẫn âm của màng nhĩ và chuỗi xương con dẫn âm. Nếu dịch tồn tại kéo dài, nguy cơ dây xương dẫn truyền bị tổn thương hoặc tổn thương tai trong (sensorineural), dẫn đến mất thính lực vĩnh viễn ở một số trường hợp.
Lưu ý lâm sàng: bất kỳ triệu chứng suy giảm thính lực kéo dài hơn vài tuần sau khi điều trị viêm tai giữa cũng cần phải được đánh giá thính lực (audiometry) để quyết định can thiệp sớm.
2.3 Tai chảy dịch bất thường (otorrhea)
Dấu hiệu viêm tai giữa ở người lớn khi tai có biểu hiện chảy dịch từ ống tai thường báo hiệu màng nhĩ đã thủng hoặc có nhiễm trùng mủ trong hòm nhĩ. Dịch có thể trong, vàng nhầy hoặc mùi hôi, đôi khi lẫn máu. Trong trường hợp chảy mủ, cần lấy mẫu dịch để nuôi cấy giúp lựa chọn kháng sinh thích hợp, đồng thời tránh dùng thuốc nhỏ tai không rõ nguồn gốc vì có thể làm nặng thêm tình trạng tổn thương. Theo nhiều nghiên cứu, CSOM (viêm tai giữa mủ mạn tính) là nguyên nhân chính gây ra tình trạng chảy dịch mạn tính và có thể dẫn tới suy giảm chức năng thính giác.

2.4 Cảm giác ù tai, nghe kém
Dấu hiệu viêm tai giữa ở người lớn còn biểu hiện dưới dạng ù tai kéo dài, âm thanh như ve rít hoặc tiếng ù đều đều. Ù tai thường xuất hiện cùng suy giảm thính lực và có thể ảnh hưởng nghiêm trọng đến giấc ngủ, tâm trạng và hiệu suất làm việc.
Khi ù tai kèm theo sự thay đổi hình ảnh khi nội soi màng nhĩ như màng nhĩ dày, mất bóng sáng, hoặc có dịch sau màng nhĩ, đó là bằng chứng lâm sàng cho thấy cần can thiệp sớm để bảo vệ thính lực.
2.5 Sốt và mệt mỏi toàn thân
Một trong những dấu hiệu viêm tai giữa ở người lớn nghiêm trọng hơn đó là sốt, rét run, mệt mỏi kèm theo đau tai. Sốt cho thấy phản ứng viêm toàn thân, thường gặp ở viêm tai giữa cấp. Ở người lớn, triệu chứng toàn thân có thể nhẹ hơn so với trẻ em nhưng vẫn là dấu hiệu cần chú ý; xuất hiện sốt cao hoặc dấu hiệu toàn thân nặng cần thăm khám ngay để tránh biến chứng.
2.6 Chóng mặt, mất thăng bằng
Dấu hiệu viêm tai giữa ở người lớn nghiêm trọng là chóng mặt hoặc mất thăng bằng. Khi viêm nhiễm lan tới mê nhĩ hoặc làm tổn thương cơ quan tiền đình, bệnh nhân có thể thấy chóng mặt, nôn ói và khó giữ thăng bằng.
Những trường hợp này có nguy cơ gây ra biến chứng nặng, cần nhập viện và xử trí phối hợp các chuyên khoa. Nhiều tổng hợp y văn đã cảnh báo về biến chứng nội nhĩ và nội sọ nếu điều trị chậm trễ.
Chẳng hạn như một bệnh nhân nam 56 tuổi, xuất hiện cơn chóng mặt, giảm thính lực và đau đầu sau một đợt viêm tai chưa được điều trị. Chẩn đoán hình ảnh phát hiện dấu hiệu tổn thương lan rộng, bệnh nhân được hội chẩn đa chuyên khoa, gồm khoa ngoại thần kinh và tai mũi họng để điều trị ngay khi có triệu chứng viêm tai giữa ở người lớn.
2.7 Nhức đầu kéo dài, đau vùng thái dương hoặc gáy
Khi viêm tai giữa tiến triển, bệnh nhân có thể than phiền về cảm giác đau đầu dai dẳng vùng thái dương hoặc sau gáy, đây là các dấu hiệu viêm tai giữa ở người lớn. Tình trạng này có thể là biểu hiện viêm lan rộng tới tế bào xương chũm hoặc có sự phản ứng với màng não. Tài liệu y học ghi nhận các biến chứng như viêm xương chũm và áp xe nội sọ bắt đầu bằng triệu chứng đau đầu mơ hồ, do đó không nên chủ quan với triệu chứng viêm tai giữa người lớn.
2.8 Ngủ kém, khó tập trung và giảm chất lượng sống
Dấu hiệu viêm tai giữa ở người lớn còn biểu hiện gián tiếp qua biểu hiện rối loạn giấc ngủ và giảm khả năng tập trung do đau, ù tai và mệt mỏi. Mặc dù không đặc hiệu, triệu chứng này cũng ảnh hưởng lớn đến hiệu suất lao động và tinh thần; khi xuất hiện đồng thời với các triệu chứng về tai khác, cần được xem là tín hiệu để đánh giá chuyên khoa và xử trí kịp thời.

Nhận diện dấu hiệu viêm tai giữa ở người lớn giai đoạn sớm là yếu tố then chốt để lựa chọn cách chữa viêm tai giữa phù hợp, tránh chuyển sang CSOM hay biến chứng nội sọ (có tỉ lệ dù hiếm nhưng rất nặng).
3. Khi nào cần đi gặp bác sĩ ngay?
Không phải mọi triệu chứng viêm tai giữa người lớn đều đủ nghiêm trọng để đến bệnh viện, nhưng có những tình huống tuyệt đối không thể trì hoãn. Cụ thể là:
Triệu chứng nguy hiểm cần khám tai mũi họng khẩn cấp
- Chảy dịch tai kèm sốt cao hoặc đau đầu dữ dội: có thể là dấu hiệu của biến chứng như viêm xương chũm hoặc áp xe não ngoài màng cứng.
- Chóng mặt dữ dội, mất thăng bằng: cảnh báo viêm đã lan lên tai trong hoặc mê nhĩ, yêu cầu khám cấp cứu.
- Thị giác hoặc thần kinh mặt bị ảnh hưởng: khó cử động mặt, nhìn mờ, có thể là biến chứng dây thần kinh số VII (liệt mặt) hoặc áp xe nội sọ.
Thời điểm cần gặp bác sĩ có chuyên môn
Nếu xuất hiện một hoặc nhiều dấu hiệu viêm tai giữa ở người lớn như giảm thính lực nghiêm trọng, ù tai liên tục, đau kéo dài, thì nên đến khám chuyên khoa; đặc biệt không nên tự tìm cách chữa viêm tai giữa tại nhà bằng thuốc không kê đơn hoặc mẹo dân gian.
Theo các bác sĩ, bệnh nhân thường trì hoãn đến bệnh viện để khám vì nghĩ đau tai là do thay đổi thời tiết hay nghẹt mũi. Nhưng đôi khi đó là dấu hiệu cảnh báo chảy dịch hay giảm nghe âm thầm. Bác sĩ chuyên khoa cũng khuyến khích người bệnh “không nên coi nhẹ bất kỳ dấu hiệu bất thường dù là mờ nhạt” và đề nghị khám Tai Mũi Họng ngay khi có triệu chứng kéo dài hơn vài ngày, để bác sĩ có cơ sở quyết định phương án điều trị đúng đắn, tránh biến chứng và lạm dụng kháng sinh không cần thiết.
4. Hình ảnh viêm tai giữa ở người lớn
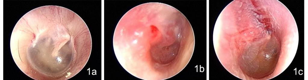
Chẩn đoán chính xác dựa trên mắt nhìn: hình ảnh viêm tai giữa ở người lớn qua nội soi là công cụ đắt giá để phân biệt giai đoạn bệnh và lập phác đồ điều trị phù hợp.
4.1 Mô tả hình ảnh nội soi viêm tai giữa điển hình
Khi soi tai, bác sĩ có thể quan sát màng nhĩ đỏ: sắc đỏ xuất phát từ phù nề hoặc vỡ mạch máu vi thể. Màu sắc này khác với viêm tai ngoài, thường không có dấu đỏ vùng màng nhĩ. Thêm vào đó, màng nhĩ có thể phồng căng (biểu hiện của dịch ứ trong hòm nhĩ hoặc có bóng sáng mất đi, đánh dấu dịch đặc tích tụ sau màng. Trong các trường hợp nặng, thấy dịch nhầy hoặc mủ đục ứ đọng, khẳng định viêm cấp hoặc mạn tính.

Mô tả hình ảnh:
- So sánh màng nhĩ trái bị viêm ở hình 1b với màng nhĩ bình thường trong hình 1a. Màng nhĩ bình thường hơi trong suốt và có thể phản xạ ánh sáng. Màng nhĩ bị viêm rất đỏ, sưng và phồng lên
- Trong hình 1c, tình trạng sưng, viêm màng nhĩ đã giảm và khi màng nhĩ trở nên trong suốt trở lại, có thể nhìn thấy mức dịch bên trong tai giữa.
4.2 Phân biệt giai đoạn: cấp, mạn, có dịch
- Viêm tai giữa cấp: màng nhĩ căng phồng, bóng sáng mất rõ, không thấy thủng.
- Viêm tai giữa tiết dịch (OME): màng nhĩ mờ, có thể lõm nhẹ, không đau cấp. Đây là tình trạng nghe kém thường kéo dài vài tuần là những dấu hiệu viêm tai giữa ở người lớn.
- Viêm tai giữa mạn tính(CSOM): thường có màng nhĩ thủng, có dịch chảy từ tai, màng nhĩ không lành; là dấu hiệu bệnh đã tiến triển và cần xử lý kịp thời. Một nghiên cứu WHO ghi nhận CSOM chiếm đến 3,8 % dân số toàn cầu, phần lớn bệnh nhân chưa được điều trị đúng cách.

Tại FV, nhiều ca viêm tai giữa người lớn đến khi chảy dịch tai với hình ảnh nội soi rõ: màng nhĩ xơ dày, có mủ. Sau can thiệp dẫn lưu và kháng sinh phù hợp, màng nhĩ phục hồi tốt trong vài tuần, thính lực cải thiện rõ. Những hình ảnh nội soi sau điều trị thường được ghi nhận để theo dõi tiến triển và đánh giá hiệu quả điều trị. Đó là minh chứng sống cho việc kết hợp chẩn đoán hình ảnh viêm tai giữa ở người lớn với lâm sàng là cách chữa viêm tai giữa hiệu quả.
5. Cách phòng ngừa viêm tai giữa ở người lớn
Phòng bệnh luôn hiệu quả hơn chữa bệnh, đặc biệt với viêm tai giữa người lớn, nơi mọi dấu hiệu thường bị xem nhẹ, dẫn đến biến chứng nghiêm trọng. Dưới đây là ba nguyên tắc đơn giản nhưng đã được y học chứng minh nhằm bảo vệ thính lực và ngăn chặn viêm tai giữa tái phát.
5.1 Giữ vệ sinh tai mũi họng khéo léo
Việc vệ sinh tai mũi họng đúng cách là nền tảng trong phòng ngừa dấu hiệu viêm tai giữa ở người lớn. Rửa tay sạch thường xuyên giúp loại bỏ nguồn lây từ bệnh hô hấp (nguyên nhân chính gây viêm tai giữa). Không nên dùng tăm bông hoặc que ngoáy để làm sạch tai vì dễ đẩy ráy tai sâu, gây trầy xước và tạo điều kiện cho vi khuẩn xâm nhập. WHO khuyến cáo chỉ lau nhẹ tai ngoài bằng khăn mềm; đối với ráy tai ứ, hãy đến bác sĩ để lấy an toàn.
Bên cạnh đó, giữ mũi họng sạch, tránh nhiễm trùng trên (nguyên nhân gián tiếp dẫn đến ứ dịch tai giữa) là cách xử lý gốc rễ để phòng ngừa viêm tai giữa. Điều này thực sự là một trong các cách phòng ngừa viêm tai giữa ở người lớn hiệu quả nhất.
5.2 Điều trị dứt điểm viêm xoang mũi, viêm họng
Viêm xoang mũi hoặc viêm họng không được điều trị triệt để dễ gây phù nề vòi nhĩ, khiến dịch ứ ở tai giữa, tạo ổ viêm. WHO và các hướng dẫn chuyên môn nhấn mạnh tầm quan trọng của việc điều trị toàn diện các bệnh hô hấp để ngăn ngừa viêm tai giữa người lớn tái phát.
Thực tế tại FV cho thấy, nhiều bệnh nhân viêm mũi xoang mạn tính sau khi được điều trị dứt điểm đã không còn bị viêm tai giữa tái phát, thính lực phục hồi ổn định. Đây là minh chứng rõ rệt cho hướng phòng ngừa toàn diện và cá thể hóa.
5.3 Không lạm dụng tăm bông hay thuốc nhỏ tai không cần thiết
Thói quen dùng tăm bông để làm sạch tai nếu không đúng cách không chỉ không hiệu quả, mà còn dễ làm thủng màng nhĩ hoặc gây viêm tai ngoài, gián tiếp dẫn đến viêm tai giữa. Theo tài liệu từ Verywell Health, việc chèn các vật nhỏ vào ống tai sẽ làm tăng nguy cơ tổn thương cơ học và nhiễm trùng.

Tương tự, việc tự sử dụng thuốc nhỏ tai không theo chỉ định, đặc biệt khi bệnh chưa được đánh giá bằng nội soi có thể làm nặng thêm tình trạng viêm tai giữa. WHO khuyến nghị chỉ sử dụng thuốc nhỏ tai khi có chỉ định rõ từ bác sĩ.
Có thể nói, để phòng ngừa dấu hiệu viêm tai giữa ở người, bạn chỉ cần tập trung vào ba bước đơn giản: vệ sinh tai mũi họng đúng cách, điều trị triệt để các bệnh hô hấp viêm nhiễm thật kỹ, và tránh các thói quen dễ gây tổn thương tai như dùng tăm bông hoặc nhỏ thuốc không theo chỉ định. Đây là nền tảng để bảo vệ thính lực lâu dài và tránh xa biến chứng đáng tiếc.
6. Vì sao nên khám và chữa viêm tai giữa tại Bệnh viện FV?
Khi đã nhận diện dấu hiệu viêm tai giữa ở người lớn, bước tiếp theo quyết định hiệu quả phục hồi chính là lựa chọn cơ sở y tế. Bệnh viện FV được xem là một trong những địa chỉ điều trị viêm tai giữa hàng đầu hiện nay, nhờ hội tụ ba yếu tố: con người, công nghệ và kết quả điều trị thực tế.
6.1 Công nghệ nội soi và phẫu thuật xâm lấn tối thiểu
Theo TS.BS Võ Công Minh, Trưởng Khoa Tai Mũi Họng tại Bệnh viện FV: “Trang thiết bị rất quan trọng trong điều trị. Ví dụ, nếu sở hữu dàn nội soi mổ hốc trong mũi, ê-kíp có thể thực hiện các ca mổ xâm lấn tối thiểu, nhờ vậy người bệnh ít đau, nhanh hồi phục hơn. Việc được đáp ứng nhu cầu về công nghệ, thiết bị tân tiến một cách nhanh chóng, kịp thời hỗ trợ đội ngũ y bác sĩ rất nhiều trong việc áp dụng những phương án điều trị tiên tiến và hiệu quả cao cho bệnh nhân”
Điều này đồng nghĩa, bệnh nhân có dấu hiệu viêm tai giữa ở người lớn khi khám và điều trị viêm tai giữa tại FV sẽ có cơ hội được điều trị bằng kỹ thuật hiện đại nhất, ít xâm lấn, giảm thiểu đau đớn, rút ngắn thời gian nằm viện.
KỸ THUẬT NONG VÒI NHĨ BẰNG BÓNG ĐIỀU TRỊ Ù TAI, VIÊM TAI
6.2 Đội ngũ bác sĩ đẳng cấp quốc tế
Khoa Tai Mũi Họng, Bệnh viện FV được dẫn dắt bởi TS.BS Võ Công Minh, người có kinh nghiệm dày dạn và trình độ chuyên môn sâu rộng, đã điều trị thành công nhiều ca bệnh Tai Mũi Họng phức tạp.
“Trong mỗi ca bệnh, tôi luôn tư vấn cho bệnh nhân dựa trên hướng dẫn y văn và kinh nghiệm lâm sàng, ưu tiên các phương án điều trị ít xâm lấn nhất để giảm đau và nhanh lành vết thương”, bác sĩ Minh chia sẻ.

Bên cạnh đó, FV còn hợp tác thường xuyên với TS.BS Bernard Colin – chuyên gia người Pháp, cùng nhiều bác sĩ từ các bệnh viện lớn trong và ngoài nước. Đây là lợi thế mà rất ít bệnh viện tư nhân ở Việt Nam có được.
6.3 Thành tựu điều trị: “Tôi đã nghe lại được âm thanh của cuộc sống”
Trường hợp của chị Thủy Tiên (32 tuổi, Cần Thơ) là minh chứng rõ ràng. Chị mắc viêm tai giữa mạn tính từ nhỏ, thường xuyên đau nhức, chảy dịch tai, kèm suy giảm thính lực. Sau khi thăm khám tại FV, bác sĩ phát hiện chị bị viêm tai giữa mủ mạn tính kèm Cholesteatoma, đây là một biến chứng nguy hiểm có thể phá hủy xương tai.
Nhờ được các bác sĩ giỏi trực tiếp phẫu thuật, cả hai bên tai của chị đều được làm sạch tổn thương, tái tạo hệ thống xương dẫn truyền âm thanh. Kết quả: chỉ sau vài ngày nằm viện, tai khô ráo, hết đau và khả năng nghe được phục hồi gần như bình thường. Chị xúc động chia sẻ:
“Nhờ Bệnh viện FV, tôi đã nghe lại được âm thanh của cuộc sống.”

Đây chỉ là một trong hàng trăm ca phẫu thuật tai thành công tại FV, chứng minh năng lực vượt trội của bệnh viện trong xử lý dấu hiệu viêm tai giữa ở người lớn, từ giai đoạn cấp đến mạn tính phức tạp.
6.4 Điều trị toàn diện và đa chuyên khoa
Không chỉ dừng lại ở viêm tai giữa, Khoa Tai Mũi Họng FV còn phối hợp chặt chẽ với Trung tâm Ung thư Hy Vọng, Khoa Ngoại Thần kinh, Phẫu thuật Thẩm mỹ, Gây mê hồi sức… để xử lý các trường hợp phức tạp như u tai, u xương thái dương, u sàn sọ.
Sự liên kết đa chuyên khoa này giúp bệnh nhân viêm tai giữa có biến chứng (ví dụ lan vào xương thái dương) được điều trị an toàn, hiệu quả và toàn diện hơn nhiều cơ sở y tế khác.
6.5 Phác đồ cá thể hóa và chăm sóc hậu điều trị
Điểm đặc biệt tại FV là mỗi bệnh nhân sẽ được tư vấn theo hướng dẫn y văn quốc tế kết hợp kinh nghiệm lâm sàng
Ngoài ra, FV luôn có quy trình tái khám định kỳ, đo thính lực và hướng dẫn bệnh nhân cách chăm sóc tai tại nhà, giúp giảm tái phát và bảo tồn thính lực lâu dài.
Nếu bạn đang gặp phải một hoặc nhiều dấu hiệu viêm tai giữa ở người lớn như ù tai, đau nhức tai kéo dài, chảy dịch hoặc giảm thính lực, đừng chủ quan. Hãy đến Bệnh viện FV để được các chuyên gia Tai Mũi Họng hàng đầu trực tiếp thăm khám và đưa ra phác đồ điều trị cá thể hóa, hiện đại, an toàn và hiệu quả.
Đặt lịch khám ngay hôm nay để sớm điều trị dứt điểm viêm tai giữa, bảo vệ sức khỏe thính lực và phòng ngừa biến chứng nguy hiểm.
Thông tin Bệnh viện FV:
- Số điện thoại: (028) 35 11 33 33
- Website: https://www.fvhospital.com/vi/
- Địa chỉ Bệnh viện FV: 6 Nguyễn Lương Bằng, Phường Tân Mỹ (Q.7 cũ), Tp. HCM, Việt Nam