Phẫu thuật Whipple (cắt bỏ nguyên khối đầu tụy- tá tràng) điều trị bệnh lý ung thư vùng hợp lưu mật-tụy là một phẫu thuật lớn và phức tạp nhất nhì trong chuyên ngành tiêu hóa. Tại Khoa Ngoại tổng quát – Bệnh viện FV, bác sĩ Pierre-Joseph Dumas là người đặt nền móng đầu tiên cho phẫu thuật Whipple vào những năm 2003 – 2004, sau đó lần lượt các bác sĩ Bertrand Marchand, Gerard Desvignes… thực hiện thường quy phẫu thuật này với kết quả rất tốt. Đặc biệt trong năm 2014, bác sĩ Phan Văn Thái đã thực hiện phẫu thuật Whipple thành công cho hai ca ung thư vùng đầu tụy có diễn biến phức tạp
Vào đầu năm 2014, các bác sĩ khoa Ngoại Tổng quát – Bệnh viện FV đã phẫu thuật Whipple thành công cho một bệnh nhân người Đức, ung thư đoạn cuối ống mật chủ, bị viêm tụy cấp nặng sau đặt stent đường mật giải áp. Ca phẫu thuật phải đợi đến 5 tuần sau viêm tụy để giảm nguy cơ biến chứng phẫu thuật, tuy nhiên hậu quả viêm tụy đã gây không ít khó khăn cho bác sĩ phẫu thuật. Vào những ngày cuối năm 2014, một trường hợp bệnh nhân người Campuchia, có đặc điểm bệnh tương tự, nhưng diễn biến có phần phức tạp hơn, đã được các bác sĩ khoa Ngoại Tổng quát – Bệnh viện FV phẫu thuật thành công.
Từ diễn tiến bệnh bất lợi liên tục xảy ra…
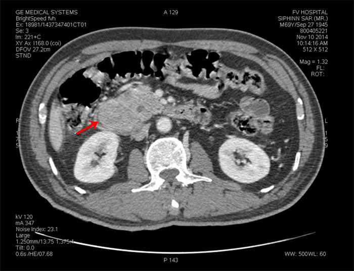
Bệnh nhân D, 69 tuổi, từ Campuchia sang Bệnh viện FV trong tình trạng ăn uống kém, sụt hơn 5 kg trong ba tháng. Sau khi khám lâm sàng, nội soi dạ dày – tá tràng, chụp CT scan…, bệnh nhân được xác định có khối u ác tính nằm ở đầu tụy, tại vùng hợp lưu ống tụy – ống mật – tá tràng. Bệnh nhân được mổ sớm nhất có thể để cắt bỏ triệt căn khối u.

Khối u đầu tụy (dấu mũi tên chỉ) của bệnh nhân D trên film CT scan)
Không may, trước ngày chỉ định phẫu thuật, bệnh nhân D., lúc đó đang ở Campuchia, phải nhập viện vì đau bụng cấp và sốt. Bệnh nhân lập tức được chuyển về lại Bệnh viện FV.
Qua khám lâm sàng và thực hiện các xét nghiệm, bệnh nhân được chẩn đoán là viêm đường mật phối hợp với viêm tụy cấp (do u gây tắc nghẽn vùng hợp lưu tụy – mật). Ca phẫu thuật định trước phải hoãn lại do bệnh nhân cần điều trị dứt điểm tình trạng viêm nhiễm cấp thời bằng nội khoa.
Những ngày sau đó, diễn tiến bệnh bất lợi liên tục xảy ra đối với bệnh nhân D. Tình trạng nhiễm trùng đường mật đã thoái lui nhờ tác dụng của thuốc, nhưng viêm tụy cấp lại nặng lên trầm trọng. Amylase máu từ 200 IU/L lên đến 4000 IU/L sau hai ngày đầu bệnh nhân D. nằm viện, hình ảnh phù nề đầu tụy nặng hơn đáng kể trên hình CT scan. Cách giải quyết duy nhất lúc này là tiếp tục điều trị nội khoa, nhịn ăn uống hoàn toàn, nuôi dưỡng bằng đường tĩnh mạch và dùng thuốc để xử lý tình trạng viêm tụy cấp nặng.
Sau một tuần điều trị nội khoa, tình trạng viêm tụy của bệnh nhân D. ổn định dần. Điều trị triệt căn ung thư bằng phẫu thuật là bước tiếp theo phải được thực hiện càng sớm càng tốt. Tuy nhiên, để an toàn cho bệnh nhân, các bác sĩ phải đợi khoảng 5-6 tuần nữa sau khi tình trạng viêm tụy được điều trị dứt điểm.
Một lần nữa, diễn tiến bất lợi lại xảy ra đối với bệnh nhân D. Dù bệnh nhân đang dần ổn định sau viêm tụy, nhưng hậu quả phù nề của nó làm cho tình trạng tắc mật từ một phần thành tắc hoàn toàn, khối u lúc đầu chưa lấp đầy tá tràng giờ đây bị đẩy sâu vào lòng tá tràng làm tắc hoàn toàn tá tràng. Trước tình hình này, bệnh nhân không thể đợi được thêm quá hai tuần nữa mà không có biện pháp giải thoát đường mật và tá tràng.

Trước tình trạng diễn biến phức tạp và nguy cấp của bệnh nhân, bác sĩ Gerard Frecon, nguyên trưởng khoa Ngoại tổng quát – Bệnh viện FV, cùng bác sĩ Phan Văn Thái đã tiến hành hội chẩn với các bác sĩ chuyên về phẫu thuật tụy nổi tiếng của Pháp. Câu trả lời từ phía các bác sĩ hàng đầu tại Pháp vẫn là: muốn thực hiện phẫu thuật Whipple (cắt bỏ trọn khối u kèm cắt rộng thêm một phần các cơ quan xung quanh, nhằm điều trị triệt căn ung thư) phải đợi ít nhất từ 5-6 tuần sau viêm tụy cấp nặng như trường hợp này. Nếu thực hiện phẫu thuật triệt căn quá sớm sau viêm tụy cấp, tình trạng viêm nhiễm phù nề sẽ làm cho cho việc bóc tách các cơ quan ra khỏi khối u rất khó khăn và nguy hiểm vì dễ tai biến chảy máu nặng cũng như tổn thương cơ quan quan trọng quanh u; hơn nữa, dù có bóc tách và cắt trọn u thành công thì việc tái tạo miệng nối tụy – ruột sẽ rất dễ bị bục xì gây biến chứng nặng nề và nguy hiểm trong những ngày hậu phẫu.
Tuy nhiên, trong tình hình đặt biệt không thể đợi thêm đến 5-6 tuần như trường hợp bệnh nhân D., chuyên gia từ Pháp khuyên nên thực hiện phẫu thuật tạm bợ để nối thông qua chỗ tắc mật và tắc tá tràng (không cắt bỏ u) để bệnh nhân có thể ăn được và qua khỏi tình trạng ngộ độc do ứ mật. Sau hai tháng mới có thể thực hiện phẫu thuật triệt căn.
… đến ca phẫu thuật nín thở
Sau khi cân nhắc tình hình bệnh nhân D., điều kiện trang thiết bị và nhân lực ở FV, cũng như lời khuyên từ các chuyên gia về phẫu thuật tụy của Pháp, vào ngày thứ 12 sau khi bệnh nhân D. nhập viện, bác sĩ Gerard Frecon và bác sĩ Phan Văn Thái đã quyết định thực hiện phẫu thuật “thám sát”, cố gắng phẫu thuật triệt để (cắt bỏ u), nếu không thể thì phẫu thuật tạm bợ (nối thông qua chỗ tắc mật, tắc tá tràng, không cắt u).

Ca phẫu thuật được tiến hành. Sau hai giờ liên tục bóc tách, di động những cơ quan xung quanh khối u (thông thường chỉ cần 30 phút), ê – kíp phẫu thuật vẫn chưa biết có thể tiến hành phẫu thuật triệt để được hay không do tình trạng viêm tụy quá nặng, tụy dính với những cơ quan khác, nhất là dính với cuống gan (có chứa các mạch máu chính cung cấp máu cho gan). Thêm một giờ nữa, khi các mạch máu cuối cùng lộ diện rõ ràng, không bị tổn thương, bác sĩ Thái ngước nhìn bác sĩ Gerard Frecon và cả ê – kíp thở phào nhẹ nhõm!
Vậy là “bệnh nhân có cơ hội sống lâu hơn” – người trực tiếp phẫu thuật chính – bác sĩ Phan Văn Thái không kìm được cảm xúc vui mừng thốt lên. Cả phòng Mổ như lấy lại được âm thanh sau ba giờ đồng hồ im lặng. Cuộc phẫu thuật diễn ra sau đó nhẹ nhàng hẳn. Các bác sĩ nhanh chóng tiến hành cắt ngang ống mật chủ, cắt ngang thân dạ dày, cắt ngang phần đầu ruột non, cắt ngang thân tụy; cắt bỏ nguyên khối gồm đầu tụy chứa u, một phần dạ dày, ống mật chủ và toàn bộ khung tá tràng; đồng thời nạo bỏ sạch sẽ 24 hạch xung quanh tụy đúng tiêu chuẩn phẫu thuật ung thư.
Tiếp theo, các bác sĩ tiến hành tái tạo lưu thông giữa các cơ quan đã bị cắt bỏ một phần. Tai biến cấp thời trong lúc mổ đã may mắn không xảy ra, tuy nhiên nguy cơ biến chứng rò miệng nối tụy – ruột sau mổ, vốn là ám ảnh cho loại phẫu thuật này, có thể cao hơn những trường hợp khác vì hậu quả mô tụy viêm. Để hạn chế tỷ lệ xì rò, bác sĩ Thái đã thực hiện khâu miệng nối tụy – ruột theo một kỹ thuật mới được gọi bằng thuật ngữ Pair-Watch suturing technique (đây là kỹ thuật được nhiều nhóm bác sĩ Nhật Bản áp dụng và có kết quả rất tốt) và chủ động đưa một quai ruột ra ngoài da để dẫn lưu dịch tụy và ruột ứ đọng trong lòng ruột.
Sau bảy giờ đồng hồ, với những cung bậc khác nhau trong cảm xúc của cả ê-kíp phẫu thuật, ca phẫu thuật cắt khối u cho bệnh nhân D. đã kết thúc thành công, không có một tai biến nào xảy ra. Kết quả giải phẫu bệnh lý là toàn bộ khối u cũng như 6 hạch di căn (trong số 24 hạch được cắt bỏ) đã được cắt bỏ triệt để theo đánh giá vi thể.
10 ngày sau phẫu thuật, bệnh nhân D. có thể ăn cơm gần như bình thường và đi dạo một mình. Bệnh nhân D. phục hồi một cách ngoạn mục và đã xuất viện vào ngày thứ 12 sau phẫu thuật.