Mr E.U.K, 48, sustained a gunshot wound to the chest while in Cambodia and was transferred to FV Hospital with ongoing bleeding. He underwent a prompt, three-hour emergency surgery which saved his life.
“A Few Millimetres Off, and He Might Not Have Survived”
Immediately after the incident, the patient received first aid at a local hospital in Cambodia, including a one-litre blood transfusion and pleural drainage. Despite this, bleeding continued at a rate of 300 ml per day for two consecutive days. Concerned about ongoing blood loss and potential infection, his family transferred him to FV Hospital for further care.
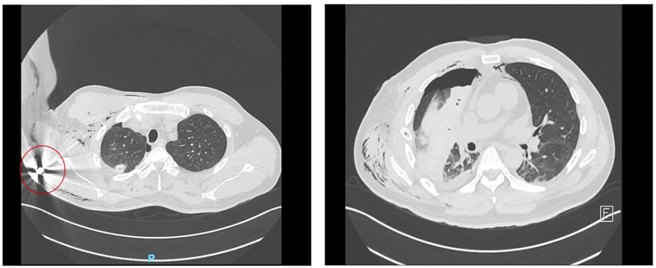
A chest CT scan revealed a surprising finding: the bullet was still lodged inside his body after having passed through the thoracic cavity.
“Just a few millimetres off, and the patient might not have survived,” said Luong Ngoc Trung, MD, MSc, Specialist Level ii, Head of Thoracic, Vascular and Endovascular Surgery Department at FV Hospital, highlighting the critical nature of the case.

The bullet pierced and destroyed the patient’s right lung lobe before becoming lodged inside the body
“This was a solid bullet, unlike bomb or mine fragments that shatter on impact. As it travels, the bullet spins, creating a wound that’s narrow at the entry but much wider at the exit, destroying multiple structures along its path. That’s also why the bleeding wouldn’t stop. The bullet entered through the front of the chest, passed through the thoracic cavity, pierced both lung lobes, and lodged near the scapula. It tore the pericardium but fortunately missed the heart and major blood vessels,” explained Dr Trung.
To prevent infection and toxic complications, the medical team promptly removed the bullet in the emergency room. While the patient’s hemodynamics stabilised following the procedure, bleeding persisted at a rate of 100–300 ml per day.
Two-Thirds of Right Lung Removed to Control Bleeding
According to Dr Trung, the bullet – being a foreign object – posed a significant risk of infection and toxicity. Despite its removal, the bullet’s path through the lung continued to bleed. As a result, the surgical team had no choice but to proceed with lung surgery.
“If we hadn’t operated, the ongoing bleeding could have led to infection or abscess formation. We also couldn’t be certain whether the bullet had damaged smaller pulmonary vessels. Over time, this could result in a venous fistula. This wound could not be preserved; it had to be resected.”
Before surgery, the team conducted thorough preparations, including bronchoscopy and damage assessment. The bronchoscopy revealed no significant damage to the major airways and no injury to any major blood vessel was identified. The primary trauma was caused by the bullet penetrating the lung lobe.

Dr Luong Ngoc Trung and team perform a minimally invasive lobectomy
The surgery lasted approximately three hours and was performed using uniportal video-assisted thoracic surgery (Uniport VATS), a minimally invasive technique that requires only a single 3 cm incision to reduce trauma. After locating the damaged areas, the surgeons removed two lung lobes equivalent to two-thirds of the right lung.
Fortunately, the patient experienced minimal blood loss during surgery and required no further transfusions. He was discharged just one week later. Despite having lost most of his right lung, he is expected to regain normal breathing function and resume daily activities after recovery.

Patient returns for follow-up in good health
“The patient is young and in good physical condition. His left lung is able to fully compensate for the loss of function. After surgery, he only required routine postoperative care and antibiotics to prevent infection. No major complications occurred,” said Dr Luong Ngoc Trung.
This life-saving chest gunshot surgery is one of many complex procedures performed by the Thoracic, Vascular & Endovascular Surgery Department at FV Hospital, home to some of Vietnam’s most skilled thoracic surgeons.
The department is currently collaborating with O2 Healthcare Group, Singapore, to establish a Regional Centre for Thoracic Surgery at FV. This partnership represents a major step forward in introducing advanced techniques from Singapore to Vietnam for the treatment of complex thoracic conditions, including trauma, lung cancer, and pneumothorax.
Luong Ngoc Trung, MD, MSc, Specialist Level II, a thoracic surgery specialist with over 20 years of experience managing a wide range of cases, from traumatic injuries and pneumothorax to advanced lung cancer and critical emergencies. Guided by the belief that “every surgery is a new chance at life,” Dr Trung operates not only with expertise but with deep compassion for his patients.
With a highly skilled team, interdisciplinary collaboration, and advanced technology, FV Hospital is establishing itself as a leading centre for specialised thoracic care, comparable to major medical institutions across Southeast Asia.
For more information about thoracic and vascular treatment, please contact the Thoracic, Vascular & Endovascular Surgery Department at FV Hospital on (028) 35 11 33 33.