FV Hospital has successfully treated an 88-year-old woman diagnosed with a rectovaginal fistula, a condition considered extremely rare in international medical literature. The patient underwent three surgical procedures over a period of more than two months. Treatment was successful, recovery was stable, and the patient has since returned to her normal daily life.
Persistent Pain Linked to a Disease with Limited Documentation in Global Medical Literature
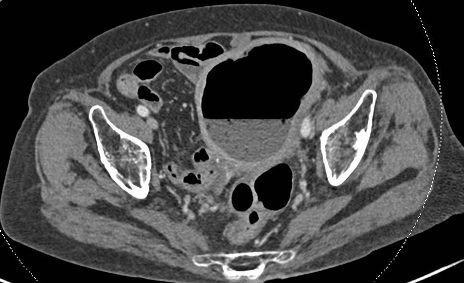
Mrs M.T.M., an 88-year-old patient from Ho Chi Minh City, was admitted to FV Hospital by her family in a condition marked by fever, persistent dull abdominal pain, and purulent vaginal discharge. Dr Le Duc Tuan, MSc, from the General Surgery Department, ordered a CT scan of the abdomen. Imaging revealed an abnormally enlarged uterus containing both fluid and gas.
Further diagnostic investigations, including colonoscopy and uterine cavity endoscopy, were subsequently performed. The results confirmed the presence of faecal matter within the uterine cavity, providing clear evidence of a rectovaginal fistula. Without timely intervention, this condition posed a significant and potentially life-threatening risk to the patient.

The CT scan revealed an abnormally enlarged uterus containing a significant amount of gas and fluid.
Dr Tuan explained that the patient’s colon contained numerous diverticula extending up to 25 cm in length, caused either by a congenital condition or long-standing chronic constipation. This resulted in faecal retention, leading to infection, inflammation, and the formation of a severe abscess, which ultimately caused the development of a colorectal fistula.
According to international medical literature, the standard treatment for this rare condition involves complete removal of the uterus and colon, combined with the creation of a permanent colostomy. However, for an 88-year-old patient, this approach carries significant risks.
“Our goal was to preserve as much of the patient’s organs as possible, minimise trauma, and help her maintain a normal daily life,” Dr Tuan shared.
A multidisciplinary consultation involving specialists from the Departments of General Surgery, Gastroenterology & Hepatology and Obstetrics and Gynaecology reached a consensus on an alternative treatment. The patient’s care plan was divided into three consecutive surgical procedures, utilising the advanced Endo GIA surgical stapling device to support precise and minimally invasive intervention.
Elderly patients typically experience slower wound healing, and without adequate nutrition, tissue recovery can be significantly delayed. In this case, Dr Tuan consulted a nutrition specialist to design a scientifically balanced diet for the patient, ensuring sufficient essential nutrients to optimise her condition prior to surgery.

Dr Le Duc Tuan, MSc, from the General Surgery Department at FV Hospital, consulting with the patient’s family about the surgical procedure.
Three Surgical Procedures to Maximise Organ Preservation in an Elderly Patient
The first operation aimed to divert the faecal stream through a temporary colostomy, allowing the lower part of the body to rest and remain free from contamination.
Ten days later, the second surgery was performed using a laparoscopic approach and lasted nearly 60 minutes. The procedure was led by Dr Le Duc Tuan, with the participation of specialists from the Obstetrics and Gynaecology and Gastroenterology Departments at FV Hospital. The objective of this stage was to separate the adhesions between the two organs. Using the Endo GIA automatic cutting and stapling device, Dr Tuan completely resolved the fistula. A segment of the colon containing diverticula, measuring approximately 25 cm in length, was also resected during the procedure.

The surgery involved a multidisciplinary collaboration, significantly improving the patient’s likelihood of a successful outcome.
“After two surgeries, the patient had essentially completed two thirds of the treatment course. At that stage, we continued to closely monitor her recovery while preparing for the third operation,” Dr Tuan explained.
Once the patient’s condition stabilised, the third surgery was performed. Dr Tuan carried out the closure of the colostomy and reconnected the bowel, allowing stool to pass normally through the anus. The procedure was completed smoothly.
The three surgeries, performed over a period of more than two months, successfully resolved this complex condition in the elderly patient and supported a rapid recovery. At her most recent follow-up visit, her health was stable, and her family reported that she had been able to return to her normal daily routine.
Reflecting on this treatment, Dr Le Duc Tuan emphasised that the successful outcome was the result of the dedicated efforts of the FV Hospital medical team, working in close multidisciplinary collaboration and delivering comprehensive care. Throughout the process, priority was given to organ-preserving and minimally invasive treatment strategies to achieve the best possible outcomes for the patient. “Multidisciplinary collaboration during surgery significantly improves success rates, and this is something FV Hospital has consistently done very well,” Dr Tuan noted.
In addition, FV Hospital’s strict infection control protocols, which meet JCI standards and have earned the hospital four consecutive international accreditations, have contributed to maintaining a surgical site infection rate at just 0.2 percent, a level rarely achieved by many hospitals. Meticulous postoperative care, combined with appropriate nutritional support, further supported the patient’s recovery following these complex procedures.

FV Hospital is proud to have achieved the Joint Commission International (JCI) accreditation four consecutive times.
To learn more about medical services at FV Hospital, visit 06 Nguyen Luong Bang Street, Tan My Ward (formerly District 7), Ho Chi Minh City, or contact our hotline at (028) 3511 3333.