Một người đàn ông Úc sống tại TP.HCM phải đối mặt với những cơn đau thắt ngực, ảo giác và động kinh không rõ nguyên nhân, tưởng đó là dấu hiệu của bệnh tim. Tuy nhiên, kết quả chụp MRI não lại tiết lộ một khối u mạch máu hiếm gặp, ẩn sâu trong não bộ. Quyết định phẫu thuật kịp thời tại Bệnh viện FV đã giúp ông hồi phục kỳ diệu, trở lại cuộc sống bình thường chỉ sau 4 ngày.
Tưởng bị đau tim hóa ra trong não có khối u hiếm
Thời gian gần đây, ông S.F. (63 tuổi, quốc tịch Úc) liên tục đối diện với những cơn đau thắt ngực dữ dội. Ban đầu, ông đi khám tại một bệnh viện tư nhân lớn. Kết quả xét nghiệm tim mạch hoàn toàn bình thường, nhưng khi chụp thêm MRI não, các bác sĩ phát hiện một khối u nhỏ và chẩn đoán cơn đau ngực có thể là một biểu hiện do động kinh gây ra
Ông được kê thuốc kiểm soát động kinh và chỉ định hạn chế nhiều hoạt động thường ngày: không bơi lội, không leo trèo, và đặc biệt là không được lái xe trong ít nhất 6 tháng. Tuy nhiên, cảm thấy phương án này chỉ là “chữa ngọn” mà bỏ quên khối u trong não, ông F. quyết định tìm đến Bệnh viện FV để được đánh giá và điều trị triệt để hơn.
Bác sĩ CKII Trần Lương Anh – Trưởng khoa Ngoại Thần Kinh và Cột sống – sau khi thăm khám và phân tích kết quả đã xác định bệnh nhân mắc phải khối u mạch máu dạng hang hiếm gặp, nằm ở hồi hải mã thuộc vùng thái dương – vùng quy định chức năng của trí nhớ nhanh.
“Đây là khối u mạch máu bẩm sinh, thường chỉ bộc lộ triệu chứng khi có hiện tượng chảy máu hoặc kích thước lớn. Vì nằm ở vị trí rất quan trọng trong não nên một khi xuất huyết, khối u sẽ gây ra các cơn động kinh”, bác sĩ Lương Anh giải thích.

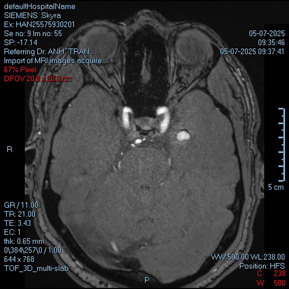
Hình ảnh MRI khối u mạch máu 9x14mm nhưng lại “ẩn mình” tại vị trí vô cùng nhạy cảm, sâu tới 5cm trong lớp vỏ não
Chính khối u này đã gây nên chứng động kinh tạng – một dạng của động kinh, khiến bệnh nhân cảm nhận được các cơn co giật bên trong cơ thể, đặc biệt rõ ở vùng tim. Cùng lúc, ông còn gặp hàng loạt rối loạn về nhận thức: ảo giác nghiêm trọng, ảo thanh (nghe thấy âm thanh lạ vang trong tai), thậm chí là ảo thị (nhìn thấy những hình ảnh không hề tồn tại). Đỉnh điểm, chỉ trong 2 ngày 17 và 18/6, ông F. đã trải qua tới 5 cơn động kinh liên tiếp, kèm theo chóng mặt và ảo giác ngày càng nặng.
“Nếu không phát hiện đúng nguyên nhân gốc rễ là khối u xuất huyết và xử lý kịp thời, bệnh nhân có thể bị chẩn đoán nhầm thành rối loạn tâm thần – dẫn đến hướng điều trị bị sai lệch, nguy hiểm đến tính mạng người bệnh”, bác sĩ Lương Anh nhấn mạnh.
Truy tìm và bóc tách khối u não nguy hiểm nhỏ như hạt đậu
Lo sợ khối u có thể chảy máu trầm trọng hơn và gây ra biến chứng khôn lường, ông F. quyết định đồng ý phẫu thuật gấp. Bác sĩ Trần Lương Anh – Trưởng khoa Ngoại Thần Kinh và Cột sống, Bệnh viện FV lập tức rà soát kỹ lưỡng toàn bộ bệnh án và lên kế hoạch mổ chi tiết cho bệnh nhân.
Khối u tuy chỉ 9x14mm nhưng lại “ẩn mình” sâu tới 5cm trong lớp vỏ não – vị trí vô cùng nhạy cảm. Chỉ một sai lệch nhỏ trong thao tác có thể gây tổn thương nghiêm trọng cho vùng não xung quanh. Đây chính là thách thức lớn nhất của ca mổ: làm sao tìm đúng “tọa độ” khối u và loại bỏ nó mà không phá hủy những mô não khỏe mạnh phụ trách về khả năng ghi nhớ của người bệnh.
Bác sĩ Lương Anh áp dụng phương pháp “mini open” – mở sọ với đường mổ cực nhỏ, hạn chế tối đa tổn thương. Hỗ trợ cho ông là hệ thống Navigation hiện đại, đóng vai trò như một chiếc “GPS” trong phẫu thuật não. Nhờ đó, bác sĩ có thể đưa ống mổ nhỏ đi thẳng đến khối u, tiếp cận chuẩn xác từng milimet.

Bác sĩ Trần Lương Anh phẫu thuật u não cho bệnh nhân
Khó khăn chưa dừng lại ở đó. Trong quá trình mổ, não bộ có thể “dịch chuyển” do thay đổi áp suất nội sọ và dòng chảy dịch não tủy, khiến dữ liệu định vị từ phim MRI trước mổ có nguy cơ lệch đi. Đây là lúc kinh nghiệm và đôi tay phẫu thuật viên mang tính chất quyết định, vì chỉ cần một cú trượt nhẹ cũng có thể để lại di chứng nặng nề.
Hệ thống Navigation đã trở thành trợ thủ đắc lực, giúp ca mổ diễn ra chính xác tuyệt đối. Sau gần 2 tiếng “cân não”, khối u cuối cùng đã được bóc tách trọn vẹn. Kết quả là một kỳ tích: các cơn động kinh, ảo giác và co thắt tạng biến mất hoàn toàn. Chỉ 4 ngày sau, ông F. khỏe mạnh xuất viện, trở về cuộc sống bình thường.
“Bác sĩ rất giỏi! Tôi may mắn khi chọn FV”
Từng phải trải qua nhiều ca phẫu thuật trong cuộc đời – phẫu thuật nhổ răng khôn, phẫu thuật gối ba lần, cắt ruột thừa – nhưng lần đầu nói tới mổ não, ông F. cảm thấy thực sự sợ hãi.
“Khi đến FV, tôi rất lo lắng. Nhưng cách bác sĩ trò chuyện, giải thích rõ ràng từng nguy cơ, từng bước điều trị đã khiến tôi cảm thấy an tâm hơn. Tôi từng nghĩ sẽ trì hoãn ca mổ, thậm chí định quay về Úc để điều trị, song khi nghe bác sĩ phân tích những rủi ro nghiêm trọng nếu động kinh tái phát, tôi đã quyết định phẫu thuật ngay”, ông F. nhớ lại.

Ông F. tái khám với bác sĩ Lương Anh, tình hình sức khỏe ổn định
Khoảnh khắc tỉnh dậy sau ca mổ, ông vỡ òa trong hạnh phúc: những cơn co giật, ảo giác ám ảnh bấy lâu nay đã gần như biến mất ngay sau đó. “Tôi nghĩ mình may mắn khi chọn FV. Mọi thứ ở đây đều tuyệt vời. Bác sĩ rất giỏi, nhân viên tận tâm, mọi người quan tâm đến tôi như người thân. Tôi thật sự hạnh phúc”, ông chia sẻ trong lần tái khám đầu tháng 8.
Bác sĩ Trần Lương Anh là một trong những chuyên gia uy tín hàng đầu trong lĩnh vực phẫu thuật sọ não và cột sống. Ông luôn ưu tiên phương pháp mổ xâm lấn tối thiểu, giúp bệnh nhân giảm đau, hồi phục nhanh và bảo tồn tối đa chức năng não bộ. Cùng với đó, hệ thống thiết bị hiện đại tại FV chính là “trợ thủ đắc lực”, giúp bác sĩ phẫu thuật đạt độ chính xác cao trong những ca khó, mang lại kết quả tối ưu cho người bệnh.
Để thăm khám với BS.CKII Trần Lương Anh các bệnh về thần kinh cột sống và não, bạn đọc liên hệ Khoa Ngoại Thần kinh và Cột sống, Bệnh viện FV, hotline: (028) 35 11 33 33.