Để khắc phục các khuyết điểm như răng mọc lộn xộn chen chúc, răng thưa, hô, móm, cắn hở… thì việc chỉnh nha (niềng răng thẩm mỹ) giúp mang lại hàm răng đều đẹp, đảm bảo khả năng ăn nhai, đem lại nụ cười tự tin, hài hòa cho từng khuôn mặt.
Câu hỏi đặt ra là từ độ tuổi nào có thể niềng răng thẩm mỹ? Và niềng răng bằng công nghệ nào là tối ưu nhất hiện nay? Câu trả lời của chuyên gia nha khoa dưới đây sẽ giúp bạn có được lựa chọn tối ưu.

Nhu cầu niềng răng là rất lớn
Nhiều thông tin cho rằng thời điểm chỉnh răng là từ 6 tuổi trở lên, nhưng cũng có không ít lời khuyên chỉnh răng tốt nhất là từ 12-16 tuổi… Những thông tin trái chiều này khiến nhiều phụ huynh lăn tăn. Bác sĩ Chuyên khoa I Nguyễn Thị Giang, Khoa Nha và Phẫu thuật Hàm Mặt – Bệnh viện FV, với hơn 17 năm kinh nghiệm chỉnh nha và phẫu thuật hàm mặt, khẳng định: thời điểm niềng răng phải được cụ thể hóa cho từng trường hợp. Tùy thuộc vào tình trạng răng của từng bệnh nhân, bác sĩ sẽ đưa ra thời điểm niềng thích hợp.
Do vậy, để hàm răng mọc đẹp nhất, ngay khi con có hàm răng sữa, cha mẹ đã nên đưa bé đến gặp nha sĩ kiểm tra định kỳ. Trên thực tế, việc chăm sóc răng miệng để bé có được hàm răng khỏe đẹp trong tương lai đòi hỏi sự quan tâm và kiên nhẫn của ba mẹ. Chẳng hạn mới đây, Khoa Nha và Phẫu thuật Hàm Mặt vừa chỉnh nha cho bé gái 9 tuổi, bị hai chiếc răng cửa mọc cách xa. Phụ huynh đã đưa bé đến gặp nha sĩ ngay khi phát hiện 2 răng cửa của bé vừa nhú lên đã cách nhau khoảng 10mm. Chụp phim mới phát hiện ẩn sâu dưới nướu có 2 chiếc răng dư chèn ép, làm 2 răng cửa không khép lại bình thường được. Sau ca phẫu thuật lấy 2 chiếc răng dư, bé được niềng răng để kéo 2 răng cửa xích lại gần nhau, giúp đảm bảo yếu tố thẩm mỹ và sự tự tin khi giao tiếp của bé.
Bác sĩ Nguyễn Thị Giang nhấn mạnh: “Tất cả những gì thuộc về “nụ cười” mà ta thấy có lệch lạc, không đẹp đều có thể chỉnh sửa và ai cũng có thể chỉnh sửa. Song, thời điểm bé bắt đầu thay răng, phụ huynh cần phát hiện sớm những răng mọc lệch lạc, áp dụng các bước chỉnh nha dự phòng sớm giúp đảm bảo chức năng nhai tối ưu, cũng như để bé luôn tự tin với từng nụ cười sau này của mình. Một nụ cười bằng 10 thang thuốc bổ cho chính mình, nhưng một nụ cười đẹp còn là thang thuốc bổ dành cho người đối diện”.
Bác sĩ Giang cũng chia sẻ thêm rằng cần biết chọn lựa công nghệ niềng răng thẩm mỹ thật phù hợp và tối ưu để mang lại hiệu quả tốt nhất. Theo bác sĩ Giang, công nghệ chỉnh nha thẩm mỹ hiện đại, tiện lợi nhất thời điểm hiện tại là niềng răng với khay đeo trong suốt VinciSmile, dành cho mọi lứa tuổi.
Phương pháp này không sử dụng mắc cài có thể gây khó chịu như thông thường mà sẽ dùng các khay trong suốt để điều chỉnh và sắp xếp từng chiếc răng về vị trí mong muốn trên cung hàm nên đảm bảo tính thẩm mỹ trong quá trình niềng. Niềng răng đeo khay trong suốt được ví như “công nghệ chỉnh răng vô hình” vì rất khó nhận thấy. Quá trình điều trị, bệnh nhân sẽ đeo khay trong suốt không mắc cài theo hướng dẫn từ Nha sĩ, tái khám và thay khay định kỳ giúp răng dần điều chỉnh vị trí.
“Ưu điểm tuyệt vời là chiếc khay niềng có thể tháo rời, bạn có thể lấy chúng ra để ăn uống và đánh răng một cách thoải mái. Đồng thời, khay đeo trong suốt nên việc chỉnh nha không ảnh hưởng đến cuộc sống hằng ngày của người đeo. Nhưng để có được kết quả tốt, người lớn nên đeo định hình 20 – 22 giờ một ngày”, bác sĩ Nguyễn Thị Giang cho biết.
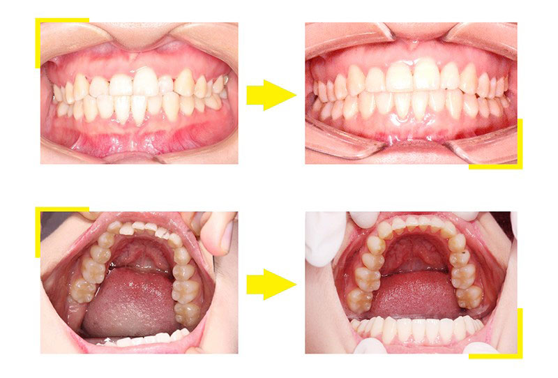
Hiệu quả thấy rõ sau khi niềng răng bằng VinciSmile
Thấy trước quá trình những chiếc răng vào đúng vị trí
Một “đặc quyền” khác của công nghệ chỉnh nha VinciSmile là nhờ kết hợp công nghệ đồ họa máy tính 3-D Scheme tiên tiến mà người dùng có thể nhìn thấy trước những chiếc răng mọc lệch sẽ dần đi vào đúng vị trí như mong muốn.

Công nghệ 3D Scheme tiên tiến giúp bác sĩ và bệnh nhân nhìn thấy trước kết quả một cách trực quan
Với nhiều ưu điểm vượt trội so với các phương pháp niềng răng thông thường trước đây, công nghệ niềng răng thẩm mỹ với khay trong suốt VinciSmile đã được Bệnh viện FV triển khai nhanh chóng, nhằm đáp ứng nhu cầu của các khách hàng tại đây và mang lại nụ cười tự tin cho mọi người theo cách thoải mái và thẩm mỹ nhất.
Ngoài dịch vụ chỉnh nha và chăm sóc răng, Khoa Nha và Phẫu Thuật Hàm Mặt Bệnh viện FV còn thực hiện các phẫu thuật chỉnh hàm thẩm mỹ, tạo khuôn mặt V-line, điều trị các bệnh lý và chấn thương về răng, hàm mặt. Đặc biệt Khoa Nha và Phẫu thuật Hàm Mặt Bệnh viện FV có quy trình kiểm soát nhiễm khuẩn và an toàn người bệnh đạt tiêu chuẩn quốc tế JCI, đảm bảo môi trường phòng khám răng và phòng mổ vô trùng tuyệt đối, đồng thời luôn áp dụng các quy trình kỹ thuật tiên tiến để mang lại kết quả điều trị tốt nhất cho từng cá nhân.

Rất nhiều bệnh nhân tin tưởng chọn Khoa Nha và Phẫu thuật hàm mặt Bệnh viện FV để điều trị các vấn đề về răng và hàm mặt
Và trên hết, Bệnh viện FV có đội ngũ nhân viên y tế từ các bác sĩ phẫu thuật, chuyên gia hội chẩn, kỹ thuật viên cho đến điều dưỡng được đào tạo bài bản, giàu kinh nghiệm, chuyên nghiệp và luôn tận tâm chăm sóc bệnh nhân.
Dưới đây là giải đáp cho những câu hỏi thường gặp khi niềng răng bằng khay trong suốt VinciSmile:
Tôi có thể ăn thoải mái trong thời gian niềng răng không?
Không có giới hạn về thực phẩm trong quá trình điều trị chỉnh nha VinciSmile. Không giống như niềng răng cố định bằng dây và mắc cài, bạn có thể ăn uống bất cứ thứ gì bạn muốn trong quá trình điều trị niềng răng đeo khay trong suốt không mắc cài VinciSmile, vì bạn có thể tháo ra để ăn uống và vệ sinh. Chỉnh nha VinciSmile là một phương pháp điều trị chỉnh nha bằng khay đeo có thể tháo lắp dễ dàng và đây là một trong những ưu điểm chính của nó. Bạn có thể tiếp tục ăn và uống các loại thực phẩm và đồ uống yêu thích của mình.
Chỉnh nha VinciSmile có gây đau nhức hay không?
Không, chỉnh nha VinciSmile không gây đau nhức, khó chịu tạm thời có thể xuất hiện do áp lực mà khay tác động lên răng tạo nên, cho thấy răng đang di chuyển và quá trình điều trị đang tiến triển.
Quy trình chỉnh nha bằng VinciSmile như thế nào?
Quy trình chỉnh nha bằng khay đeo trong suốt VinciSmile tại FV gồm 6 bước. Tại buổi thăm khám đầu tiên, bệnh nhân sẽ được Nha sĩ kiểm tra, scan răng, chụp hình, chụp phim X-quang và tư vấn điều trị. Sau đó Nha sĩ sẽ trao đổi kế hoặc điều trị cùng với bệnh nhân bằng phần mềm để định hình vị trí cung hàm mong muốn. Nhà sản xuất sẽ sản xuất khay. Sau khi nhận khay từ nhà sản xuất, Nha sĩ sẽ hướng dẫn bệnh nhân cách sử dụng và vệ sinh khay đeo theo từng giai đoạn. Bệnh nhân cần đeo khay thường xuyên theo hướng dẫn từ 20 – 22 giờ mỗi ngày và tái khám theo lịch hẹn để Nha sĩ kiểm tra và nhận khay đeo cho giai đoạn chỉnh nha tiếp theo. Ở lần thăm khám cuối, bệnh nhân sẽ được chụp phim X-quang, lấy dấu silicone và xác nhận hoàn tất quá trình điều trị duy trì.
Khay VinciSmile có gây khó chịu khi nói?
Chắc chắn nó không gây trở ngại cho phát âm. Tuy nhiên, cũng giống như niềng răng truyền thống, cần có một khoảng thời gian thay đổi thói quen ban đầu do cảm giác có một thứ gì đó mới trong miệng của bạn. Thời gian làm quen “người bạn mới” này thường không quá 2 tuần.
Răng có tiếp tục di chuyển sau khi niềng?
Răng di chuyển trong suốt phần đời còn lại của bạn, cho cả những người đã điều trị và những người chưa điều trị. Cũng giống như chúng ta có nếp nhăn hoặc tóc bạc, cơ thể thay đổi trong suốt cuộc đời. Cách tốt nhất là sử dụng khay niềng theo chỉ định trong thời gian niềng răng và khám tổng quát định kỳ tại Bệnh viện FV, để chúng tôi có thể phát hiện những thay đổi về hàm và răng của bạn càng sớm càng tốt.

Để nhiều người dân được tiếp cận công nghệ niềng răng hiện đại VinciSmile và sở hữu nụ cười tự tin một cách dễ dàng nhất, từ nay đến 30/09/2022, Bệnh viện FV áp dụng mức ưu đãi 15% cho tất cả các khách hàng chỉnh nha bằng công nghệ niềng răng trong suốt VinciSmile.
Cần biết thông tin chi tiết về công nghệ niềng răng VinciSmile, vui lòng liên hệ Khoa Nha và phẫu thuật hàm mặt qua hotline: (028) 54113435 hoặc truy cập: https://www.fvhospital.com/vi/nieng-rang-tham-my-voi-cong-nghe-khay-deo-trong-suot-vincismile-tai-fv/