Sau hơn 15 năm chạy chữa bệnh phổi tắc nghẽn mạn tính (COPD) và giãn phế quản tại nhiều bệnh viện lớn ở Singapore và Thái Lan nhưng không khỏi, một phụ nữ 62 tuổi người Campuchia đã được các bác sĩ tại Bệnh viện FV điều trị dứt điểm bằng phẫu thuật nội soi lồng ngực có video hỗ trợ (VATS – Video-Assisted Thoracoscopic Surgery).
Với vết mổ chỉ 1,5-3 cm, kỹ thuật tiên tiến này mang lại tỷ lệ thành công cao trong điều trị các bệnh lý liên quan tới lồng ngực.

ThS.BS.CKII Lương Ngọc Trung cùng ekip thăm bệnh nhân và người nhà trước khi xuất viện
Sức khỏe suy kiệt sau hơn 15 năm ngược xuôi điều trị bệnh phổi
Cách đây 40 năm bà Chea Uon (62 tuổi, người Campuchia) thường xuyên ho kéo dài. Dần dà, bà bị viêm phổi, tình trạng này tái diễn liên tục khiến sức khỏe ngày càng sa sút. Năm 2014, bà đến Bệnh viện FV thăm khám và được chẩn đoán giãn phế quản dạng túi, được khuyến nghị phẫu thuật nhưng từ chối vì ngại can thiệp mổ xẻ. Thay vào đó, bà đi khám ở Thái Lan và Singapore và quyết định điều trị bảo tồn bằng thuốc.
Tuy nhiên, sau nhiều năm điều trị ở nhiều bệnh viện lớn tại Thái Lan và Singapore, bệnh tình của bà Chea diễn tiến nặng hơn: bà bị khó thở, ho kéo dài, mệt mỏi, ăn uống kém, tay chân yếu dần, trung bình mỗi năm tái viêm phổi 4-5 lần.
Năm 2025, theo lời khuyên của các con, bà quyết định quay lại Bệnh viện FV. Khi khám cho bà Chea, ThS.BS.CKII Lương Ngọc Trung, Trưởng khoa Phẫu thuật mạch máu và lồng ngực, Bệnh viện FV nhận thấy bệnh nhân bị giãn phế quản nặng trên nền bệnh phổi tắc nghẽn mạn tính (COPD), với ổ nhiễm trùng mạn tính tại thùy dưới phổi trái.

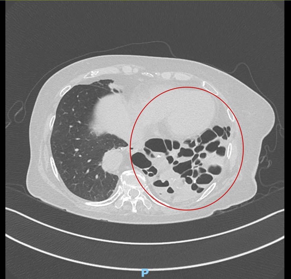
Phim chụp CT cho thấy phần phổi bên trái của bệnh nhân đã bị tổn thương nặng
“Khối tổn thương có kích thước khoảng 15-20cm, chiếm toàn bộ khoang phổi trái và chèn ép sang cả phổi phải. Bên trong chứa nhiều vi khuẩn nguy hiểm như E. coli, Pseudomonas. Đây là một ca giãn phế quản nặng và hiếm gặp: toàn bộ thùy phổi đã mất hoàn toàn chức năng, bị xơ hóa, chứa đầy dịch mủ và trở thành một ổ nhiễm trùng mạn tính”, bác sĩ Trung nhận định.
Do thể trạng bệnh nhân suy kiệt nặng, không đủ điều kiện để can thiệp phẫu thuật ngay, bác sĩ chỉ định điều trị kháng sinh kết hợp tập vật lý trị liệu hô hấp trong vòng hai tuần nhằm cải thiện chức năng phổi.
Phẫu thuật nội soi cắt khối phổi bị chai cứng, không còn chức năng hô hấp
Sau 2 tuần điều trị kháng sinh và tập vật lý trị liệu hô hấp để nâng thể trạng, bệnh nhân được phẫu thuật ngày 2/5/2025. Ca mổ nội soi lồng ngực có video hỗ trợ (VATS – Video-Assisted Thoracoscopic Surgery) do ThS.BS.CKII Lương Ngọc Trung cùng ekip thực hiện diễn ra suôn sẻ. Đây là kỹ thuật xâm lấn tối thiểu với vết mổ chỉ 1,5-3 cm, tỷ lệ thành công cao trong điều trị nhiều bệnh lý lồng ngực, phục hồi nhanh sau phẫu thuật.

ThS.BS.CKII Lương Ngọc Trung cùng ekip phẫu thuật cho bệnh nhân
Trong khi mổ, bác sĩ Trung nhận thấy toàn bộ thùy dưới phổi trái không còn khả năng co giãn vì đã xơ hóa, bị chai cứng. Bên trong là ổ mủ lớn, vôi hóa và có sỏi như một túi bị nhiễm trùng. Bác sĩ Trung phải cắt nhỏ thùy phổi bị giãn để lấy ra ngoài sau khi thực hiện cắt thùy phổi nội soi vì kích thước lớn.
Do khối phổi chiếm gần 2/3 thể tích lồng ngực trái, phần phổi lành bên trên bị chèn ép và không thể giãn nở. Đây là nguyên nhân khiến bệnh nhân thường xuyên bị khó thở, thiếu oxy và suy giảm miễn dịch kéo dài. “Nếu để lâu hơn, nhiễm trùng có thể lan sang phổi phải, và khi đó, việc hồi phục sẽ gần như không còn cơ hội”, bác sĩ Trung tiên lượng.
“Nếu biết sớm tôi đã chọn FV ngay từ đầu!”
Sau phẫu thuật 6 ngày, bà Chea Uon đã có thể tự ăn uống, đi lại nhẹ nhàng và hô hấp ổn định. Chỉ số viêm giảm rõ rệt, không còn ho khạc đờm kéo dài như trước.
“Bác sĩ Trung khám và tư vấn, tôi thấy rất hợp lý, đúng với những gì tôi cảm nhận về sức khỏe của mình. Lúc đó tôi không còn sợ phẫu thuật nữa”, bà chia sẻ với niềm vui hiện rõ trên gương mặt.
Ông Saing Chheann – chồng bệnh nhân cho biết, hơn 15 năm cùng vợ điều trị tại nhiều bệnh viện lớn ở nước ngoài khiến cả gia đình kiệt sức và thất vọng. Trước kia, gia đình không đồng ý điều trị cho bà Chea vì lo ngại rủi ro từ mổ hở vì kỹ thuật nội soi chưa phổ biến. Sau khi tham khảo ý kiến từ con cái – những người từng tin tưởng chọn FV làm nơi chăm sóc sức khỏe – hai ông bà mới quyết định quay lại Việt Nam điều trị.
“Nếu biết sớm phương pháp điều trị tại FV hiệu quả như vậy, chúng tôi đã không mất quá nhiều thời gian và chi phí điều trị suốt hơn 15 năm qua”, ông nói.
Theo ThS.BS.CKII Lương Ngọc Trung, bệnh nhân mắc bệnh phổi tắc nghẽn mạn tính hoặc giãn phế quản nên được theo dõi định kỳ với bác sĩ chuyên khoa hô hấp để kiểm soát tình trạng nhiễm trùng, đánh giá chức năng phổi và phòng ngừa biến chứng. Khi tổn thương đã lan rộng hoặc không còn khả năng hồi phục, cần cân nhắc phẫu thuật cắt bỏ để không làm ảnh hưởng tới phần phổi còn khỏe mạnh.

Bác sĩ Trung kiểm tra lại sức khỏe cho bệnh nhân trước khi xuất viện
Để đặt hẹn khám và điều trị các bệnh lý liên quan về phổi và lồng ngực, bạn đọc có thể liên hệ Khoa Phẫu thuật mạch máu và lồng ngực – Bệnh viện FV: (028) 3511 3333.